Az állatorvoslás
nem mindennapi oldala

Dr. Seregi Antal

Bélelzáródás (ileus)

Kutyák és macskák gyakori megbetegedése a bélcsatorna elzáródása (ileus). Az emésztőcsatorna elzáródása általában akut formában jelentkező betegség, klinikai tüneteit a bágyadtság, elesettség, többszöri hányás esetenként a hasmenés uralja. Előrehaladott esetben az állat folyadékháztartása felborul, kiszárad, az elzáródott bélszakasz perforálódhat, hashártyagyulladás alakulhat ki. A klinikai tünetek súlyossága függ az elzáródás helyétől: minél közelebb van az ileus kialakulása a gyomorhoz, annál kifejezettebb, súlyosabb tünetekkel találkozunk.A bélelzáródást oktani szempontból az alábbi csoportokba sorolhatjuk:

  • A bélcsatorna eltömődése (ileus obturationis): általában idegentest (kő, gesztenye, barackmag, műanyag játék stb.) lenyelése következtében kialakult elváltozás. A lenyelt képlet a gyomorból a vékonybélbe jutva a bél lumenét részlegesen (subileus) vagy teljesen elzárja megakadályozva ezzel a béltartalom tovább haladását. Obturatios ileus alakulhat ki béldaganatok esetében is, de ilyenkor a klinikai tünetek megjelenése a daganat növekedésének megfelelően lassan következik be.
  • Az un.: invaginációs ileus általában fiatal állatokban alakul ki. A bélelzáródás oka ebben az esetben, hogy a bélmozgások jelentős felgyorsulása következtében ( bélgyulladás, hasmenés ) egy bélszakasz a mögötte lévő bélszakaszba türemkedik, ezáltal annak lumenét elzárja.
  • A lefűződéses bélelzáródás (ileus strangulationis) leggyakoribb formája, amikor a különféle sérvkapukon (köldöksérv, lágyéksérv, stb.) keresztül egy bélszakasz, mint sérvtartalom előtüremkedik és elzáródik, de ritkán a hasüregen belül kialakult nyeles képletek (pl.: daganatok) is lefűzhetnek egy bélszakaszt.
  • A lineáris idegentest okozta ileus nem tényleges értelemben vett bélelzáródás, mert ebben az esetben az idegentest cérna, fonal vagy más fonalszerű képlet, mely a bélrendszerbe kerülve a bélfodor mentén, rozettaszerűen felfűzi a bélcsatorna egy részét, így akadályozva meg a táplálék tovahaladását.
  • A bélbénulás (ileus paralyticus) egy speciális eset, mely során a béltartalom tovahaladásának oka nem a bél lumenének elzáródása, hanem a bélmozgások teljes leállása. Oka általában elhúzódó bélgyulladás, hasmenés.

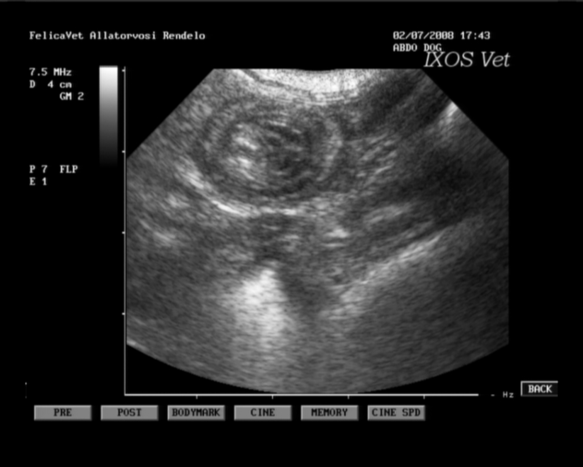
A különféle bélelzáródások diagnosztikája során a kórelőzmény (pl.: játék lenyelése) és a klinikai tünetek (hányás, a has feszítése, tapintható idegentest a hasüregben stb.) mellett kiegészítő vizsgálatként RTG vizsgálat és a hasüreg ultrahangos vizsgálata jöhet szóba. A bél elzáródását okozó képletek az esetek döntő többségében nem adnak röntgen árnyékot, ezért un.: röntgen kontrasztanyagot etetünk az állattal és többszöri röntgenfelvétel készítésével figyeljük a tovahaladását.

Abban az esetben, ha a kontraszt anyag elakad, az ileus diagnózisa nagy biztonsággal kimondható. Ultrahangos vizsgálattal a bélelzáródás előtti területen felhalmozódó béltartalom un.: inga-mozgása is egyértelműen bélelzáródásra utaló diagnosztikai jel.

Az ileus gyógykezelése minden esetben műtéti beavatkozást igényel. A bélelzáródást okozó képlet bélmetszést követően a lumenből eltávolítható ill. az esetek egy részében a bélelzáródást a bélfal elhalása, repedése vagy daganata miatt egy bélszakasz teljes eltávolításával oldjuk meg. Bélbénulás esetén a teljes béltraktus átmozgatásával, különféle bélmozgató szerek adásával érhetünk el eredményt.

A bélelzáródás műtéti megoldását követő postoperatív időszak legfontosabb teendője a folyadékháztartás egyensúlyának fenntartása és a hányás megakadályozása. A műtétet követő 12-24 órában a betegeket mindenképpen meg kell etetni folyékony táplálékkal, hogy a bélmozgások beinduljanak, a lehető legrövidebb időn belül normalizálódjanak. Elengedhetetlen a műtéti terület és a hasüreg naponkénti ultrahanggal történő kontrollja, az esetleges szövődmények (varratelégtelenség, hashártyagyulladás) kizárása.A műtétet követő néhány napban az állatok csak folyékony táplálékot ehetnek, majd 4-5 nappal a műtétet követően a pépes, 14 nappal a műtét után a száraz táp etetése megengedett. A csont etetését a bélműtéten átesett állatoknál a továbbiakban kizárjuk.



Ha tetszett a cikk, oszd meg másokkal is:


Kiemelt cikkek

Porckorongsérv

A porckorong (discus) a gerincoszlopban, a csigolyák teste közötti rugalmas kapcsolatot biztos...

Dunyha

Mindig kedveltem a nem mindennapi kutyaneveket… Dunyhát, a pajkos magyar vizsla lányt...

Legg-Perthes kór

Legg-Calve-Pertes kórnak nevezzük kistestű kutyákban a combcsontfej nem fert...

Legfrissebb cikkek

A mellékvese daganatai

A mellékvesék a vese körüli zsírszövetben találhat&oac...

Gerinctörések

A gerinctörések kialakulását minden esetben valamilyen súlyos trauma előzi meg. Az esetek d...

Lépcsavarodás

Kedveltem Brandont…Egyike volt azon shar-pei-eknek, akik a rendelőben is barátságosa...